03 351 5013

455 Papanui Road
Christchurch 8053
NEW ZEALAND

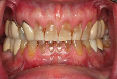
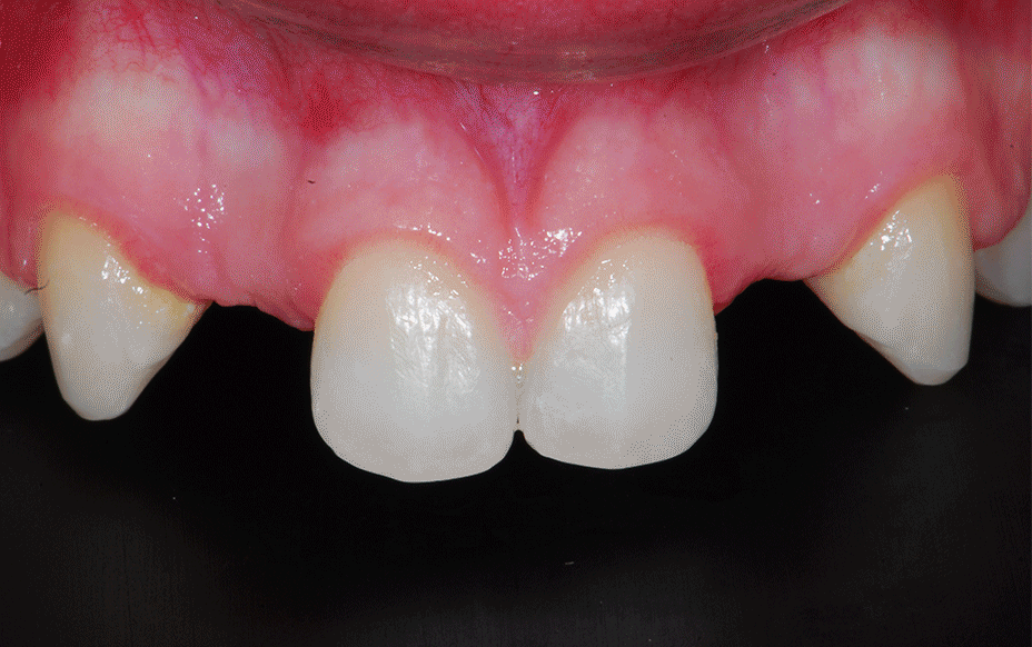
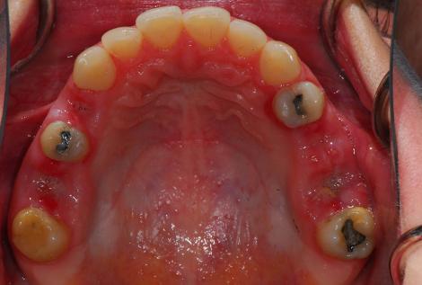
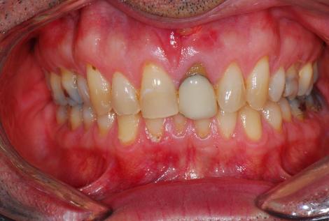
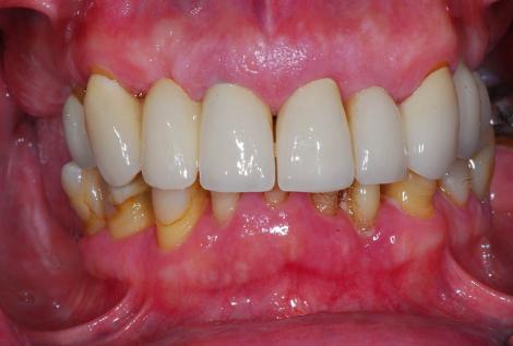
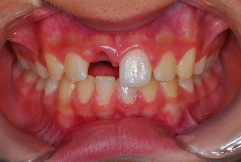
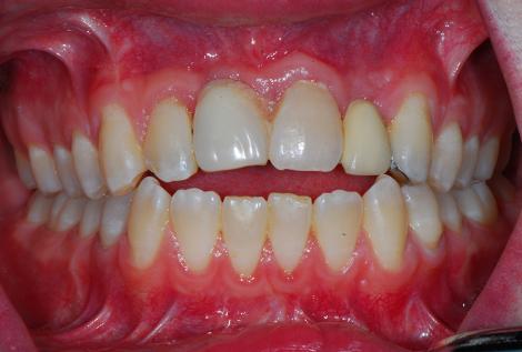
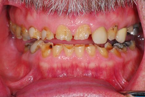
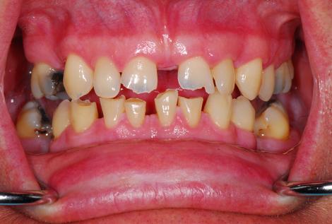
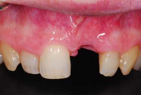
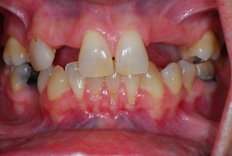
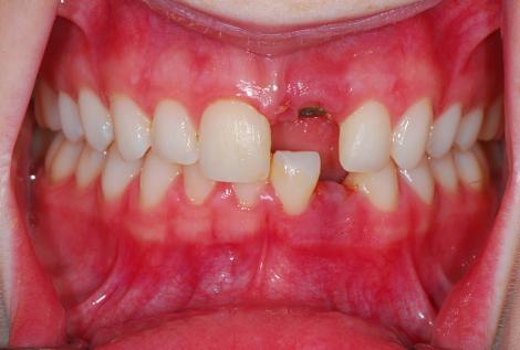
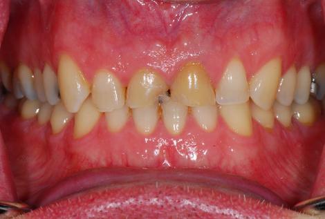
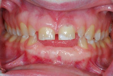
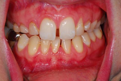
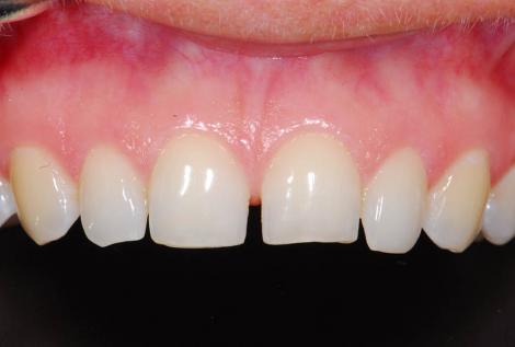
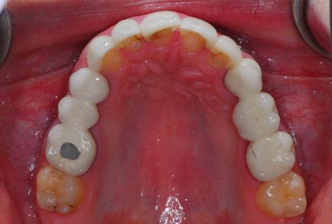
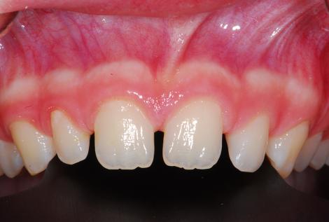
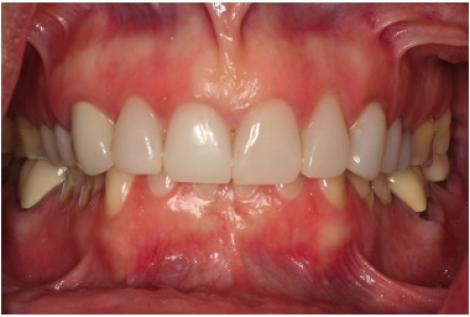
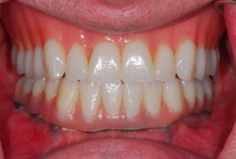
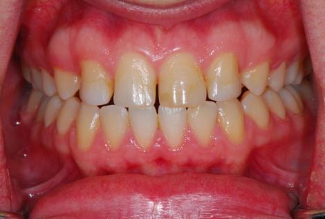
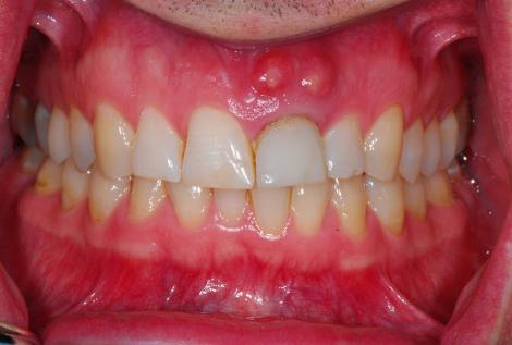
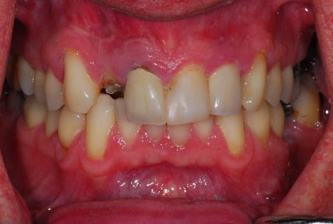
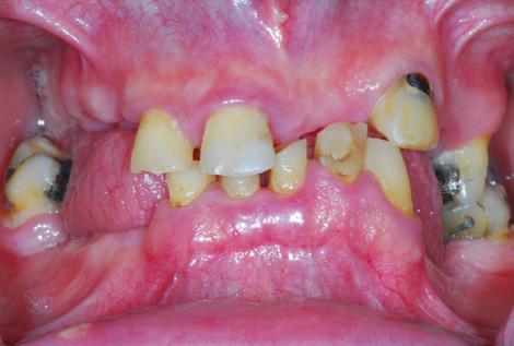
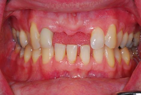
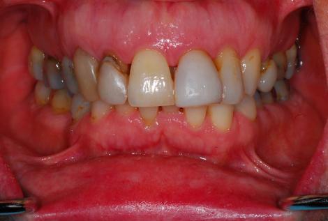
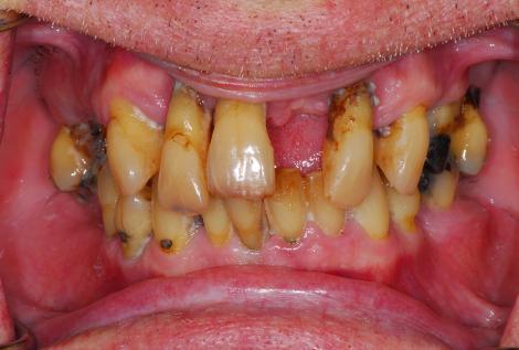
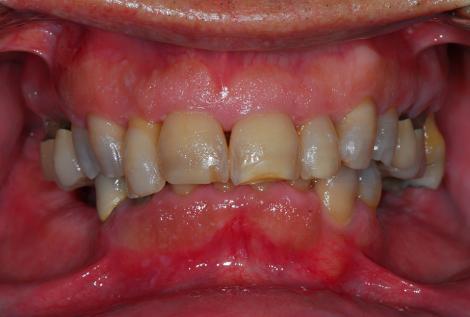
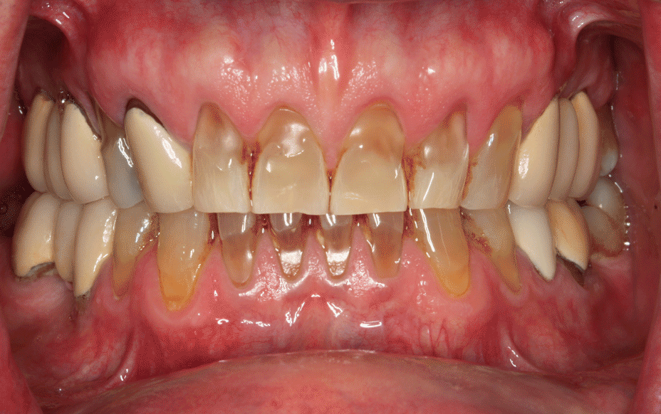
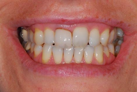
Smile Results

Some examples of what we do

Scroll down to browse other Smile Results.