03 351 5013

455 Papanui Road
Christchurch 8053
NEW ZEALAND

Ashley

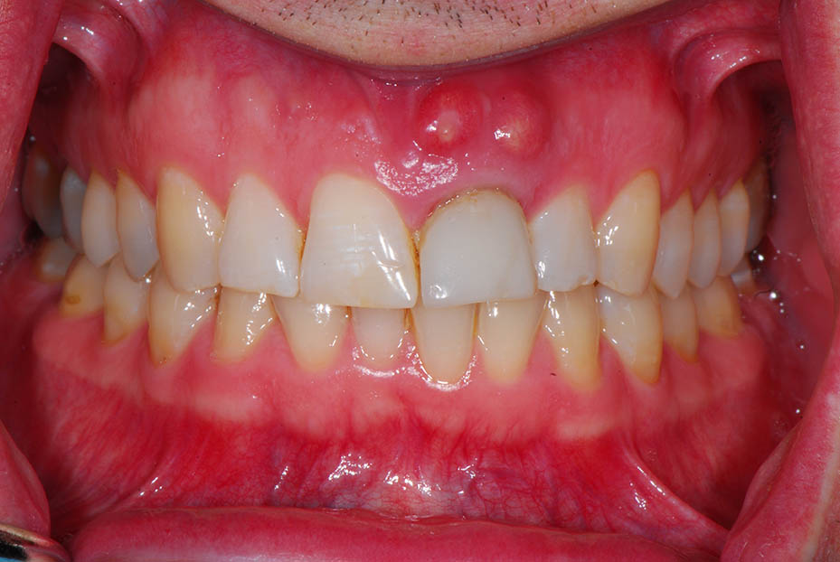
Use the slider bar above to switch between before and after images

Use the slider bar above to switch between before and after images

Before

After