03 351 5013

455 Papanui Road
Christchurch 8053
NEW ZEALAND

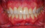
Stuart

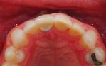
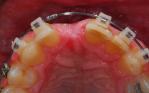
After some simple orthodontics, the front upper right central is replaced with a single implant crown.

Use the slider bar above to switch between before and after images

Before

After