03 351 5013

455 Papanui Road
Christchurch 8053
NEW ZEALAND

Rebecca

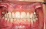
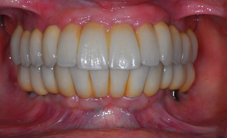
Replacement of all teeth with implant supported ceramic bridgework on eight implant fixtures in each jaw.

Use the slider bar above to switch between before and after images

Before

After