03 351 5013
455 Papanui RoadChristchurch 8053NEW ZEALAND
Home › Smile Results ›
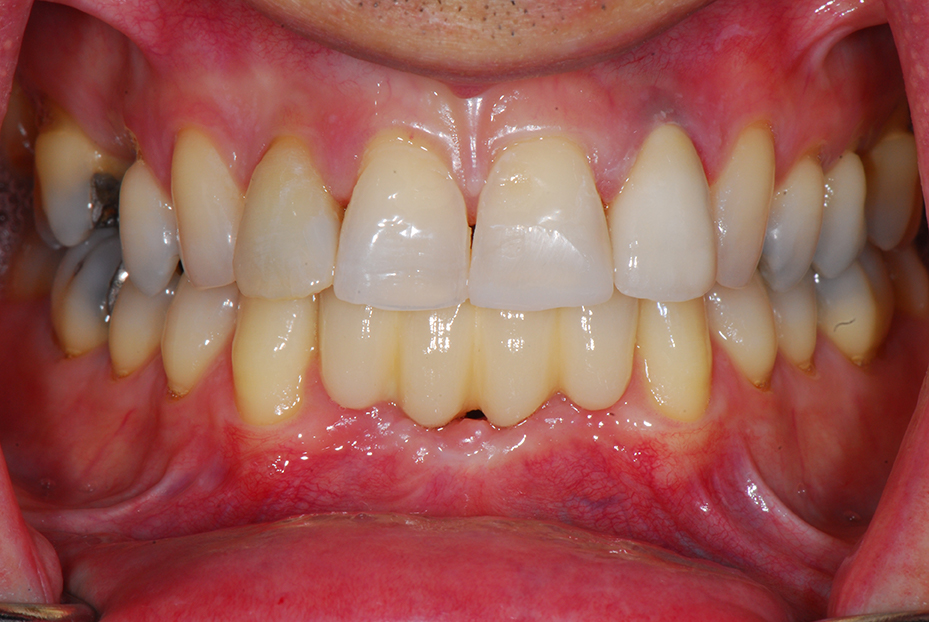
Replacement of all four failing lower front teeth with an implant bridge, some whitening, composite bondings and one new crown on an upper lateral incisor