03 351 5013

455 Papanui Road
Christchurch 8053
NEW ZEALAND

Marc

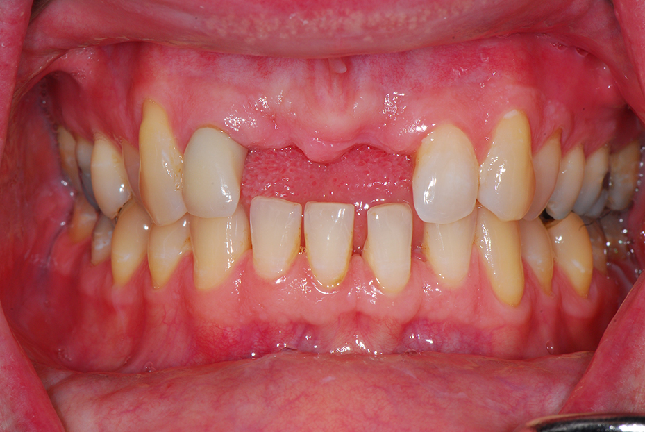
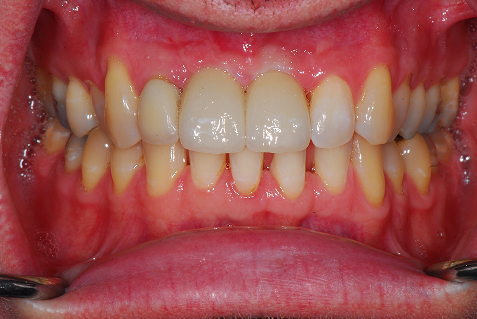
Two implant crowns to replace teeth missing after trauma.

Use the slider bar above to switch between before and after images

Before

After