03 351 5013

455 Papanui Road
Christchurch 8053
NEW ZEALAND

Elyse

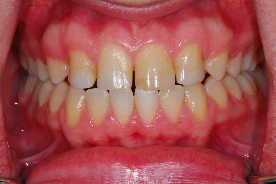
Some whitening and some simple composite bondings to close the spaces between the teeth.

Use the slider bar above to switch between before and after images

Before

After