03 351 5013

455 Papanui Road
Christchurch 8053
NEW ZEALAND

Sharon

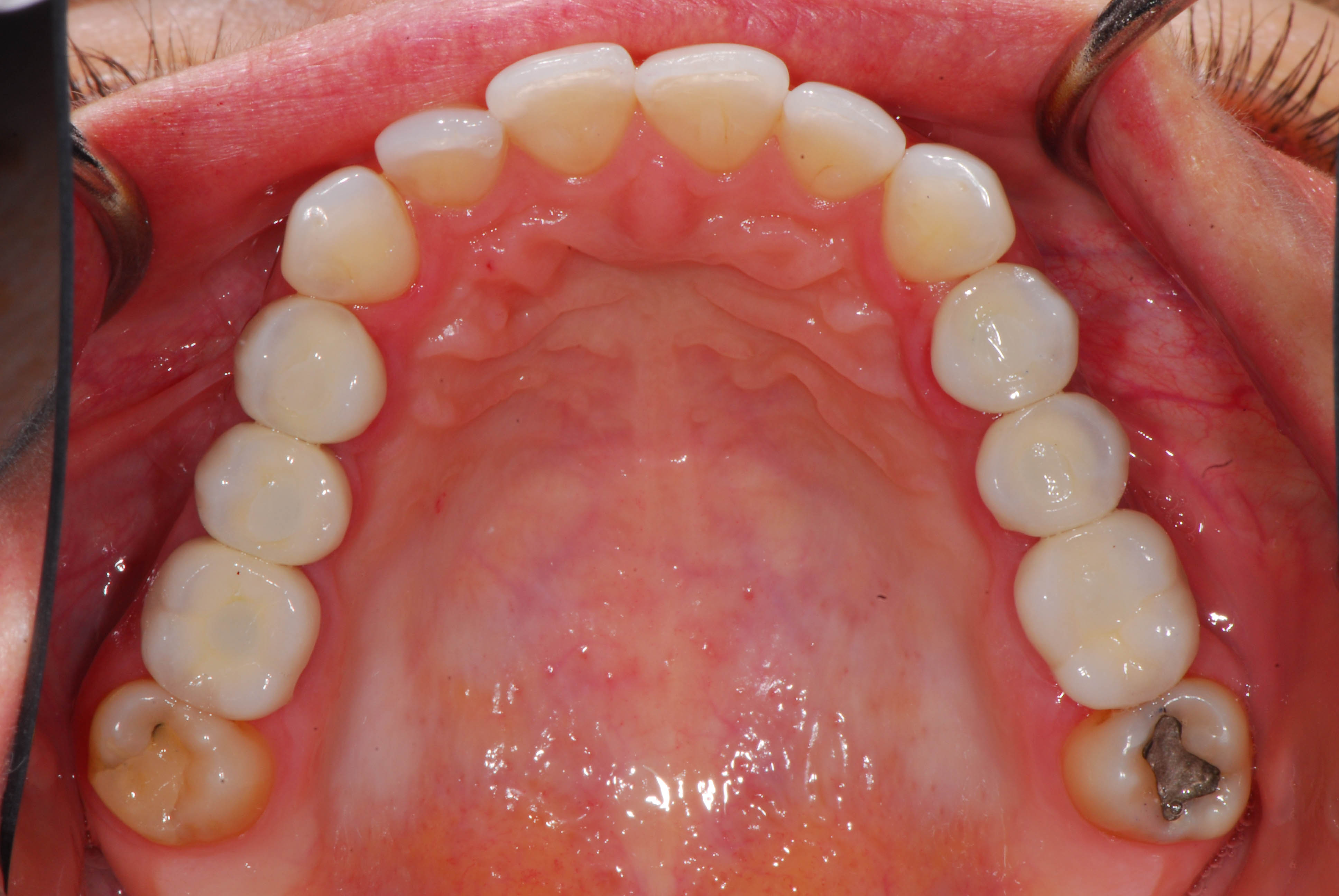
A fainting accident meant we had to replace almost all of the badly fractured upper back teeth with implant crowns.

Use the slider bar above to switch between before and after images

Before

After