03 351 5013

455 Papanui Road
Christchurch 8053
NEW ZEALAND

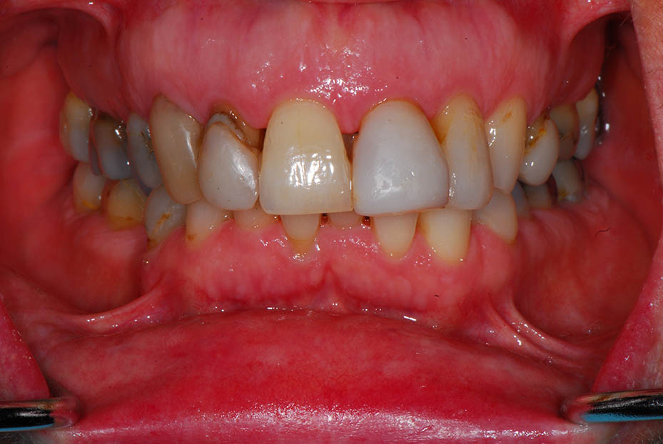
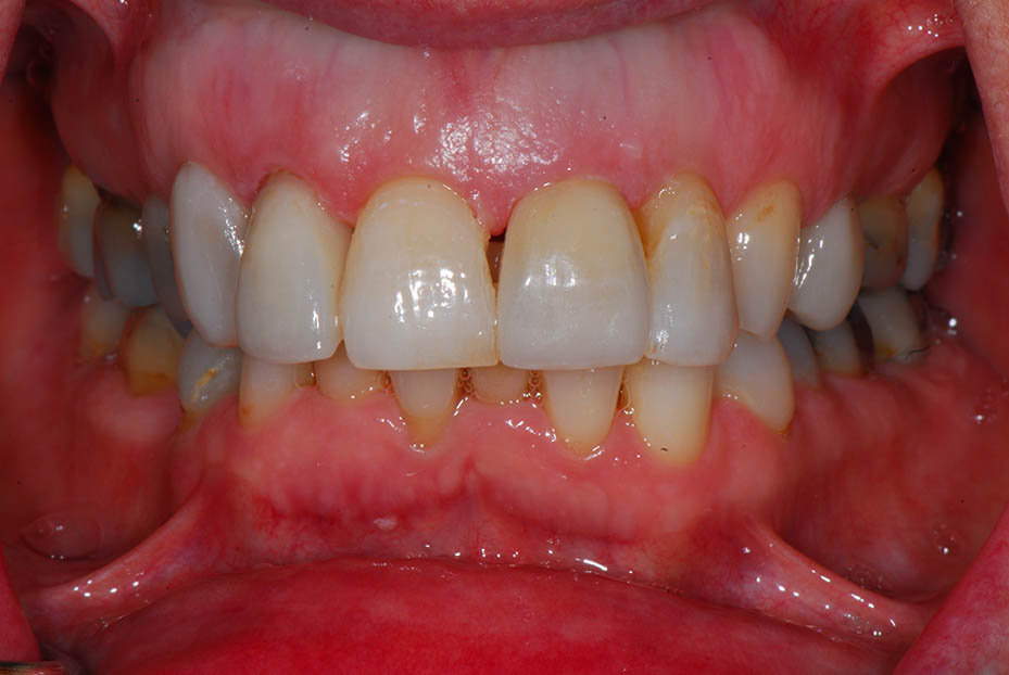
Connie

Two new crowns and some composite bondings.

Use the slider bar above to switch between before and after images

Before

After