03 351 5013

455 Papanui Road
Christchurch 8053
NEW ZEALAND

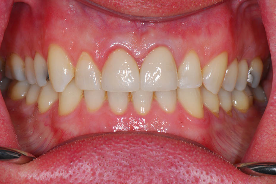
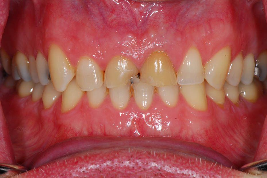
Barry

Some whitening and replacement of two front crowns.

Use the slider bar above to switch between before and after images

Before

After