03 351 5013

455 Papanui Road
Christchurch 8053
NEW ZEALAND

Roshanna

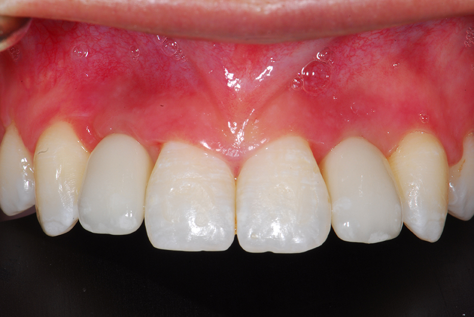
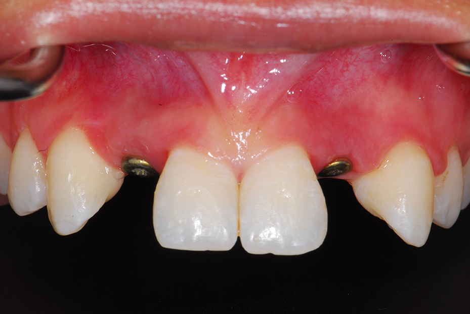
Replacement of congenitally missing upper lateral incisors with two implant crowns.

Use the slider bar above to switch between before and after images

Before

After