03 351 5013

455 Papanui Road
Christchurch 8053
NEW ZEALAND

Mark

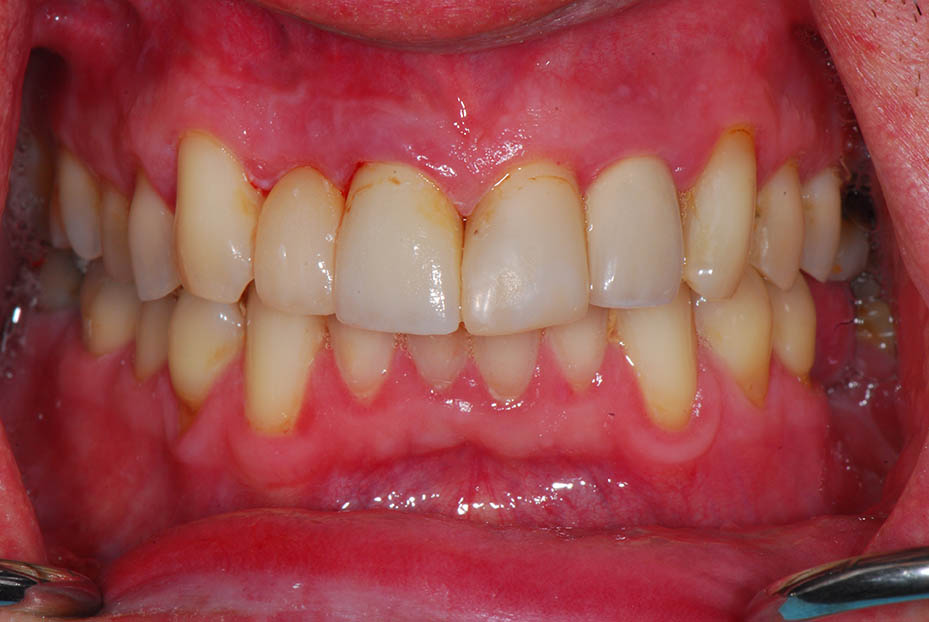
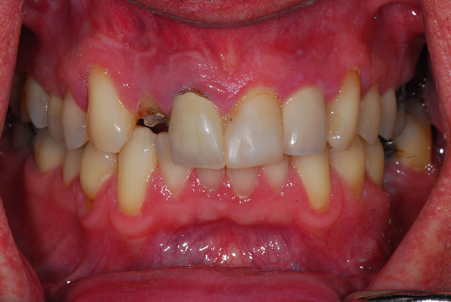
A single implant crown to replace the badly fractured lateral incisor, and a new crown on the upper right central incisor.

Use the slider bar above to switch between before and after images

Before

After