03 351 5013

455 Papanui Road
Christchurch 8053
NEW ZEALAND

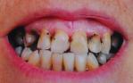
Ngaire

Construction of new dentures to improve the fit and aesthetics.

Use the slider bar above to switch between before and after images

Before

After