03 351 5013

455 Papanui Road
Christchurch 8053
NEW ZEALAND

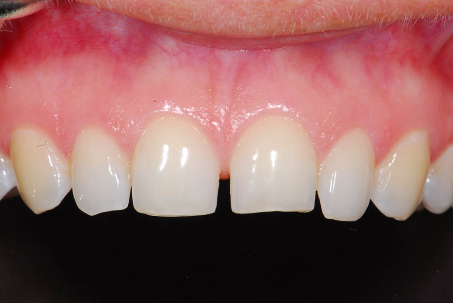
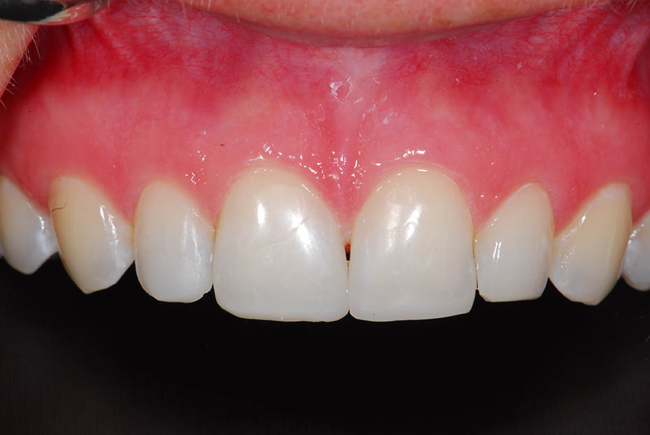
Janene

Simple composite bondings to close the spaces between her two front teeth.

Use the slider bar above to switch between before and after images

Before

After