03 351 5013

455 Papanui Road
Christchurch 8053
NEW ZEALAND

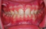
Oliver

Some whitening and closure of the spaces with composite bondings.

Use the slider bar above to switch between before and after images

Before

After