03 351 5013

455 Papanui Road
Christchurch 8053
NEW ZEALAND

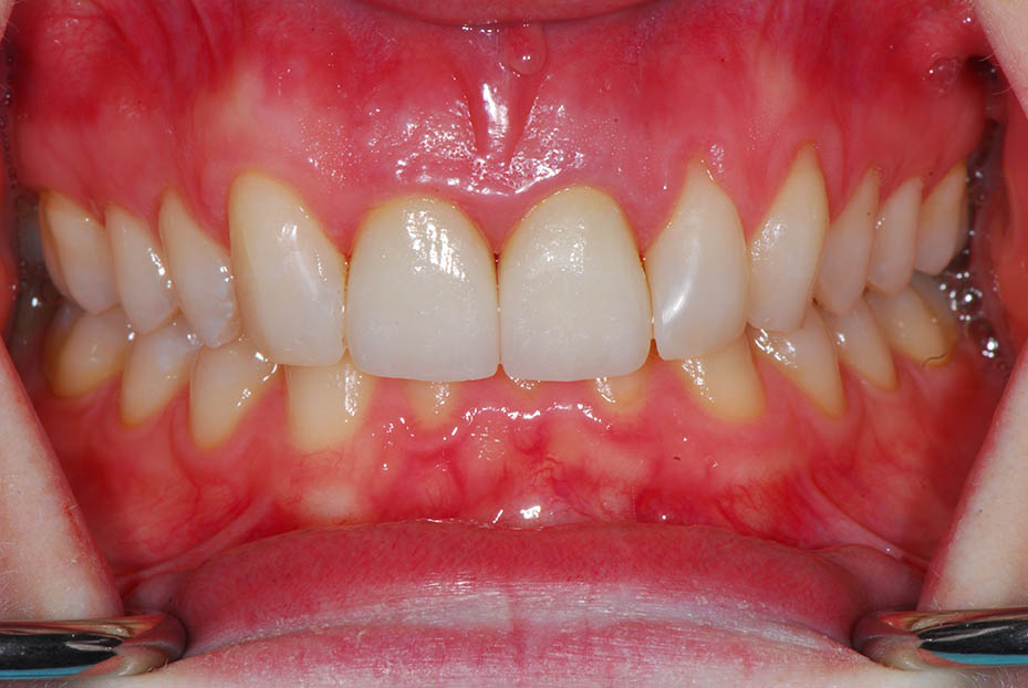
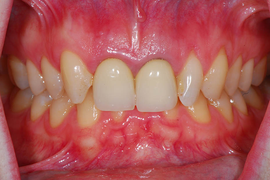
Rebecca

Some whitening, replacement of front two crowns, and some composite bondings to disguise a missing lateral incisor.

Use the slider bar above to switch between before and after images

Before

After