03 351 5013

455 Papanui Road
Christchurch 8053
NEW ZEALAND

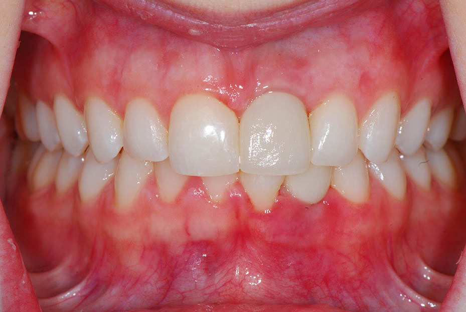
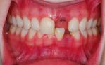
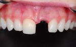
Priscilla

Replacement of two of her front teeth with a single implant crowns following an accident.

Use the slider bar above to switch between before and after images

Before

After