03 351 5013

455 Papanui Road
Christchurch 8053
NEW ZEALAND

Dayle

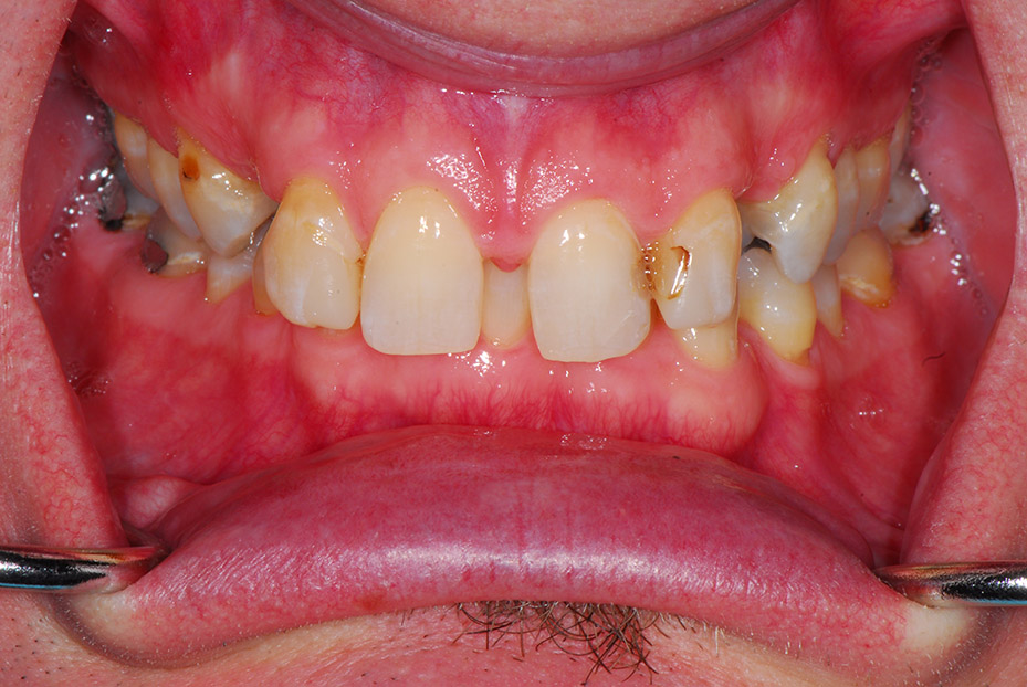
Single implant crowns to replace his missing upper canines and some composite bondings to improve the appearance of his front teeth.

Use the slider bar above to switch between before and after images

Before

After