03 351 5013

455 Papanui Road
Christchurch 8053
NEW ZEALAND

Mike

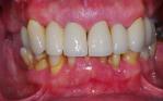
Full mouth implant reconstruction with an upper full arch zirconia bridge supported on six implant fixtures, and a lower full arch titanium framework acrylic bridge, also on six implant fixtures.

Use the slider bar above to switch between before and after images

Before

After