03 351 5013

455 Papanui Road
Christchurch 8053
NEW ZEALAND

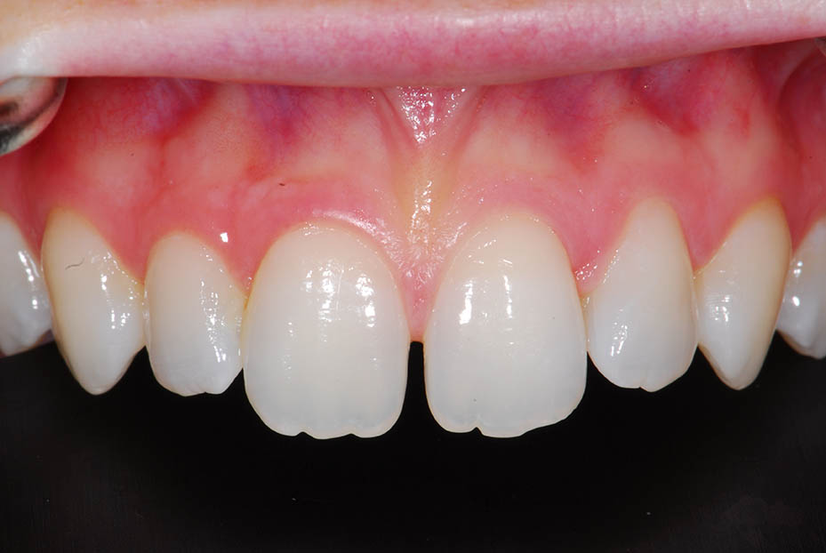
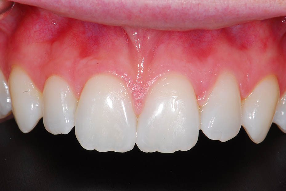
Jess

Simple composite bondings to close the space between her two front teeth.

Use the slider bar above to switch between before and after images

Before

After