03 351 5013

455 Papanui Road
Christchurch 8053
NEW ZEALAND

Nelly

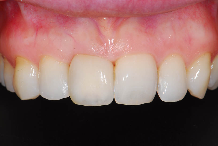
Single implant crown to replace her front tooth that was dissolving after trauma.

Use the slider bar above to switch between before and after images

Before

After