03 351 5013

455 Papanui Road
Christchurch 8053
NEW ZEALAND

Merichris

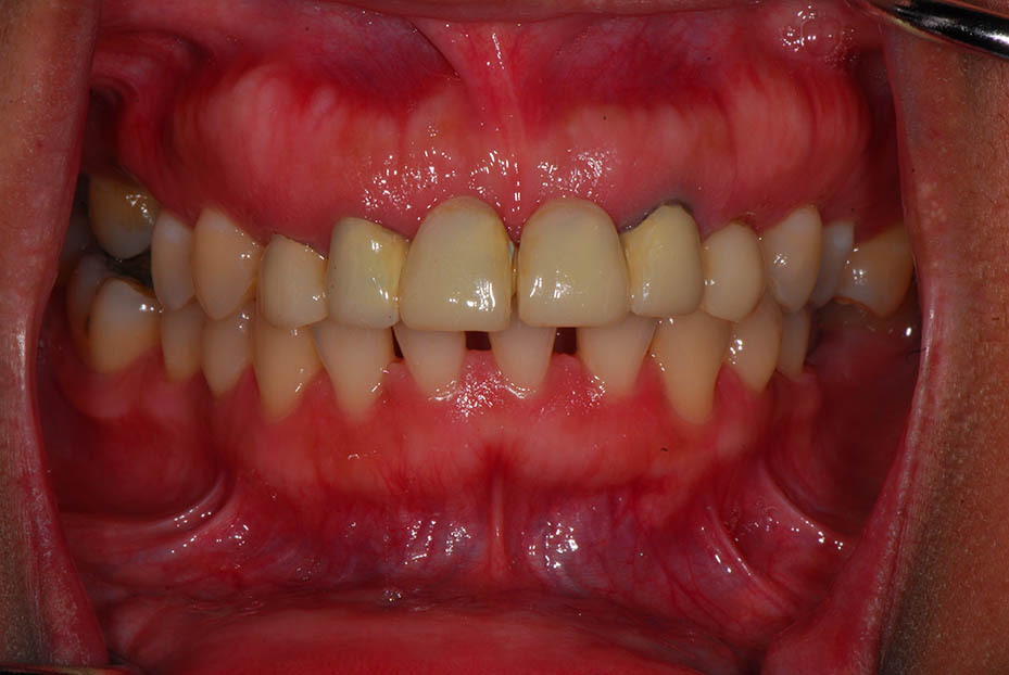
New crowns on the upper canines and an implant bridge to replace the front four teeth following the failure (fracture) of the old bridgework.

Use the slider bar above to switch between before and after images

Before

After