03 351 5013

455 Papanui Road
Christchurch 8053
NEW ZEALAND

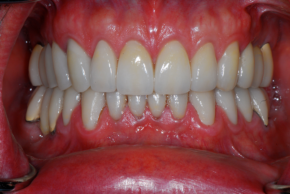
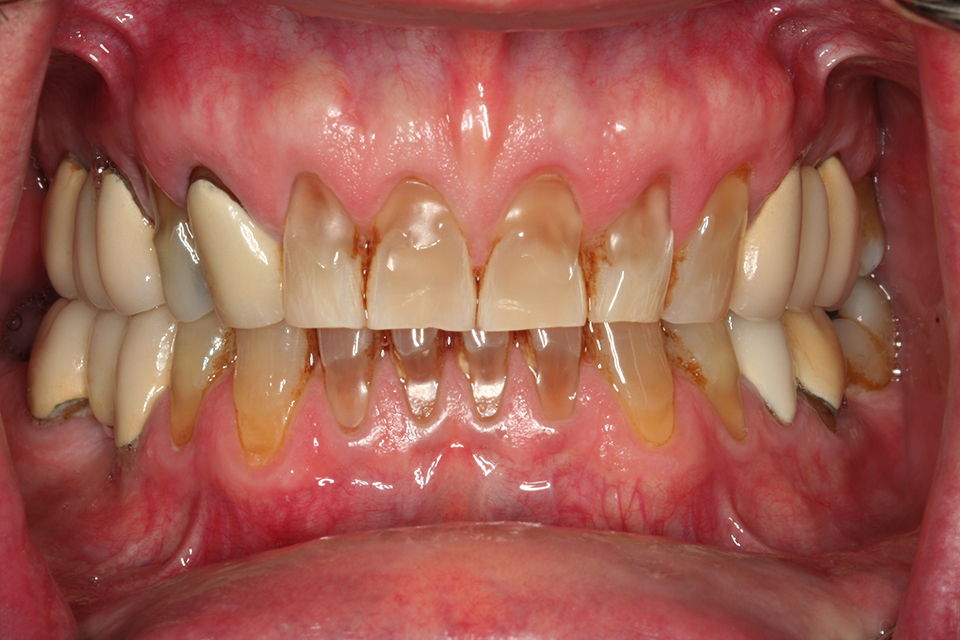
Joseph

Crowns and veneers to improve the aesthetics on teeth badly stained by antibiotic use when only a child.

Use the slider bar above to switch between before and after images

Before

After