03 351 5013

455 Papanui Road
Christchurch 8053
NEW ZEALAND

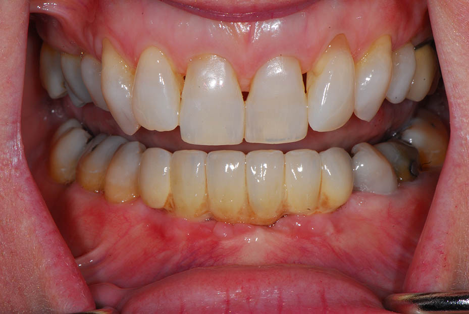
Helen

Some whitening, composite bondings to the two front teeth, and a lower implant bridge replacing her front six teeth.

Use the slider bar above to switch between before and after images

Before

After