03 351 5013

455 Papanui Road
Christchurch 8053
NEW ZEALAND

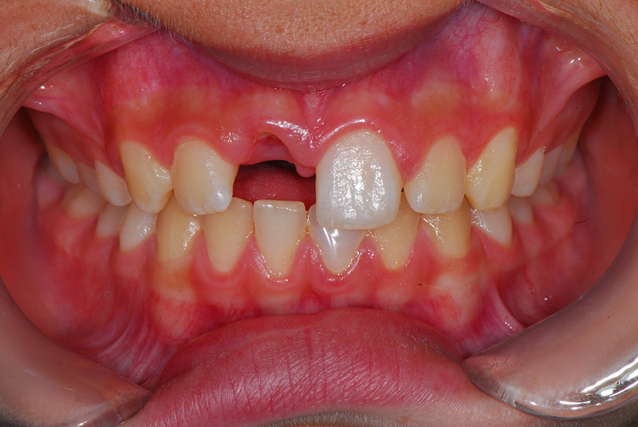
Ben

Simple bonded ceramic bridge to replace missing central incisor following trauma until the patient is old enough to have an implant crown (NOTE: We have retained the root to preserve the bone).

Use the slider bar above to switch between before and after images

Before

After