03 351 5013

455 Papanui Road
Christchurch 8053
NEW ZEALAND

Daniel

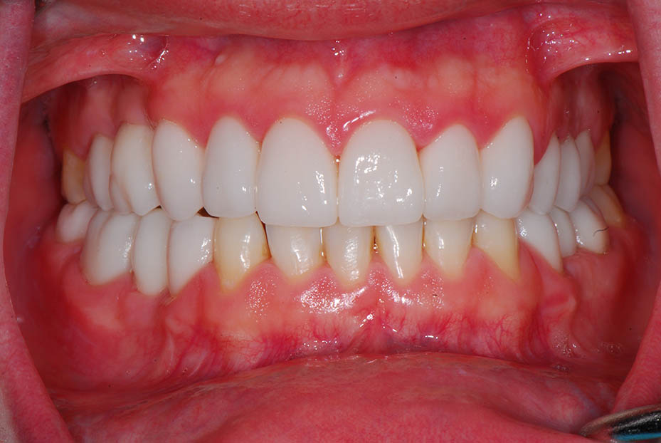
Replacement of all pre-existing crowns following ill fitting margins and decay.

Use the slider bar above to switch between before and after images

Before

After