03 351 5013

455 Papanui Road
Christchurch 8053
NEW ZEALAND

Anne

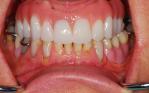
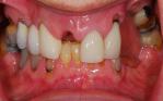
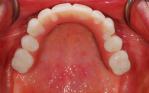
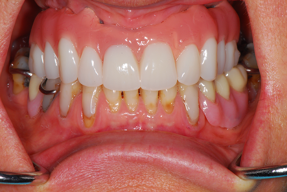
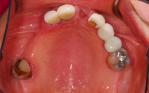
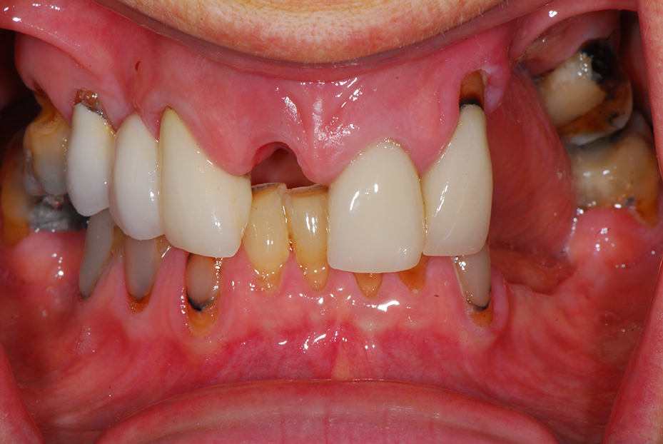
Replacement of all failing upper teeth with a fixed titanium framework acrylic bridge on five implant fixtures.

Use the slider bar above to switch between before and after images

Before

After