03 351 5013

455 Papanui Road
Christchurch 8053
NEW ZEALAND

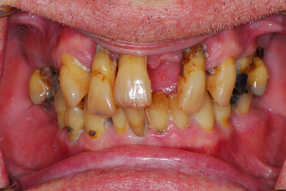
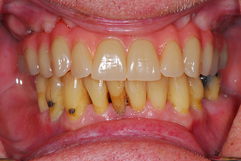
Bevan

Replacement of all failing loose upper teeth with a fixed titanium framework acrylic bridge on six implant fixtures.

Use the slider bar above to switch between before and after images

Before

After