03 351 5013

455 Papanui Road
Christchurch 8053
NEW ZEALAND

Judy

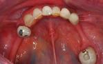
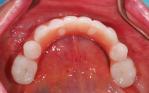
Replacement of all the teeth with an upper overdenture that clicks onto five implant fixtures and a fixed lower titanium framework acrylic bridge on four implant fixtures.

Use the slider bar above to switch between before and after images

Before

After