03 351 5013

455 Papanui Road
Christchurch 8053
NEW ZEALAND

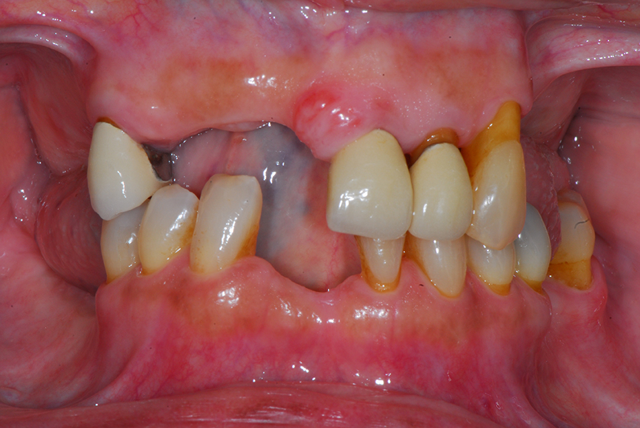
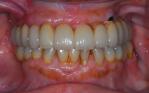
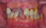
Wanda

Replacement of all upper teeth with implant supported ceramic bridgework, and implant crowns to replace the missing lower teeth.

Use the slider bar above to switch between before and after images

Before

After