03 351 5013

455 Papanui Road
Christchurch 8053
NEW ZEALAND

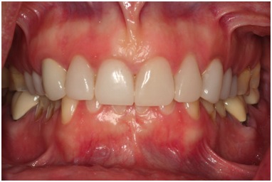
Paulina

Full mouth rehabilitation with full coverage ceramic crowns following extensive erosion and history of bulimia (vomiting).

Use the slider bar above to switch between before and after images

Before

After