03 351 5013

455 Papanui Road
Christchurch 8053
NEW ZEALAND

Jacky

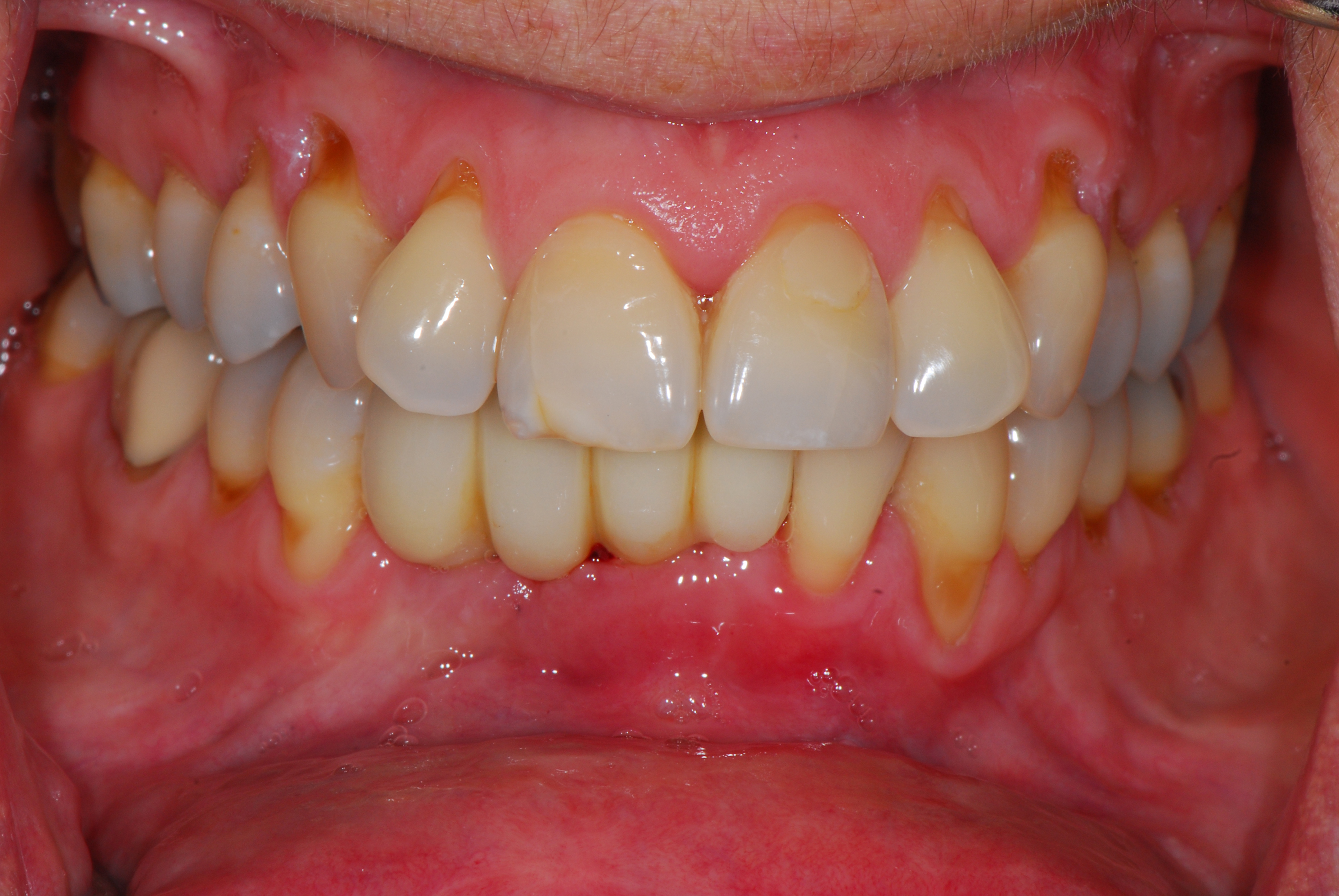
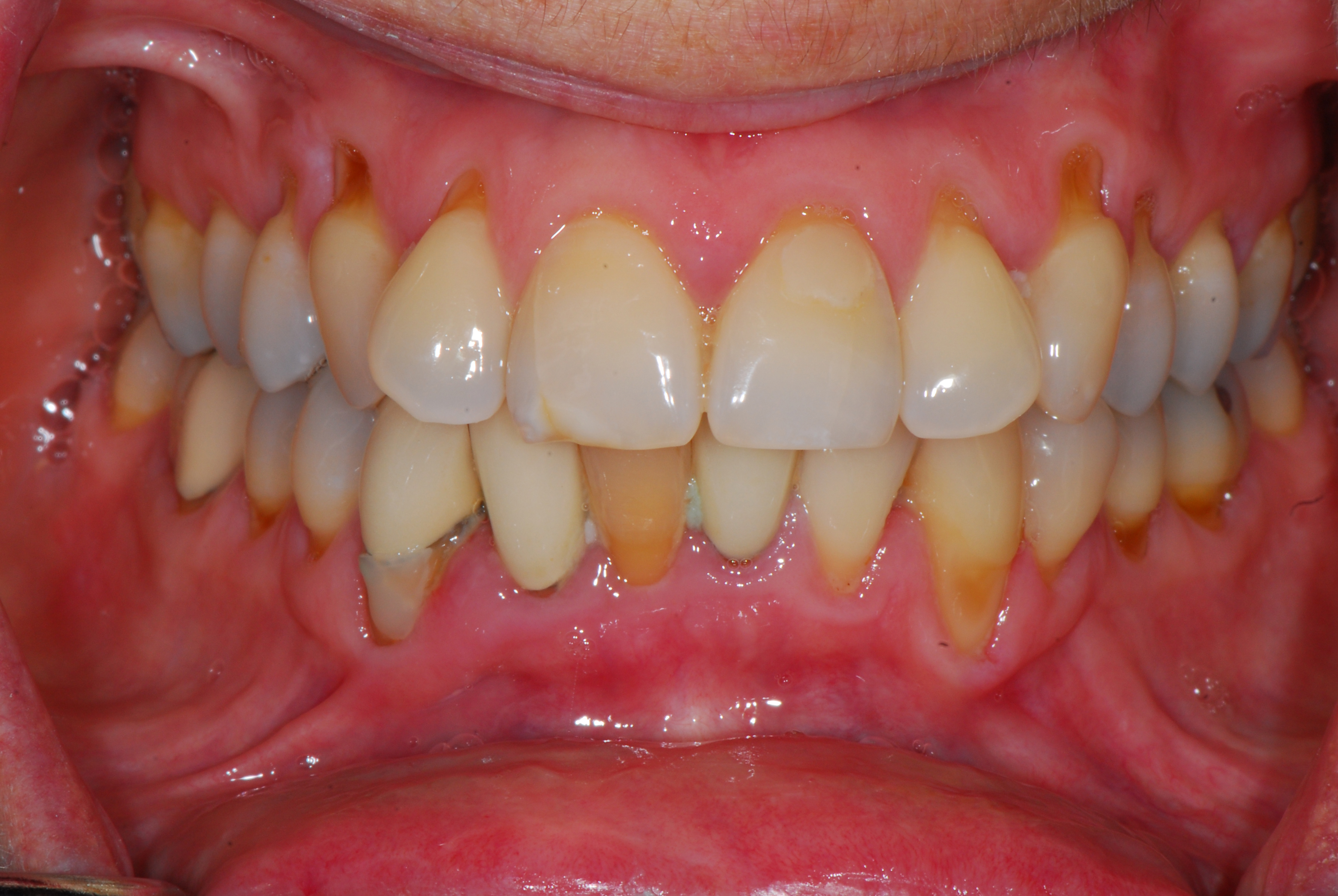
A lower implant bridge replacing five teeth lost following trauma.

Use the slider bar above to switch between before and after images

Before

After