03 351 5013

455 Papanui Road
Christchurch 8053
NEW ZEALAND

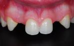
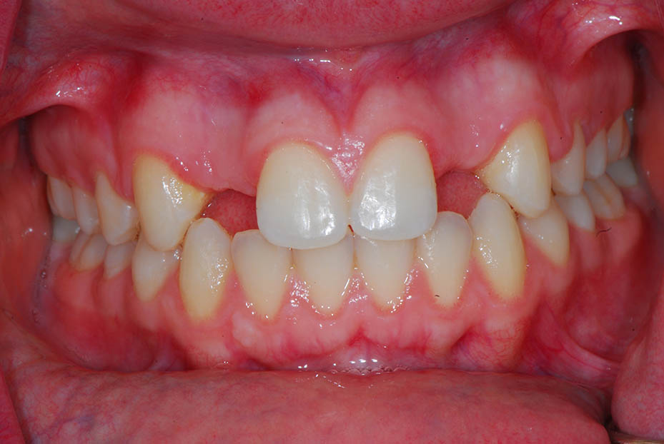
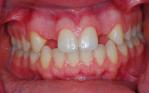
Abby

Congenitally missing lateral incisors replaced with two single implant crowns.

Use the slider bar above to switch between before and after images

Before

After