03 351 5013

455 Papanui Road
Christchurch 8053
NEW ZEALAND

David

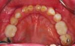
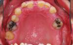
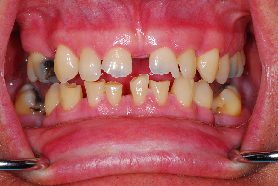
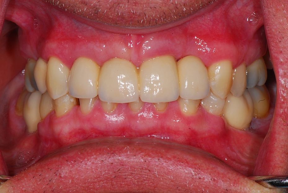
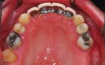
Opening of a collapsed bite with implant crowns and bridges and some simple composite bondings.

Use the slider bar above to switch between before and after images

Before

After