03 351 5013

455 Papanui Road
Christchurch 8053
NEW ZEALAND

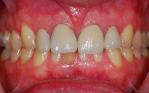
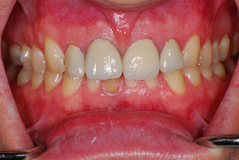
Andrew

Replacement of front four crowns, some whitening and one lower porcelain bonded veneer.

Use the slider bar above to switch between before and after images

Before

After