03 351 5013

455 Papanui Road
Christchurch 8053
NEW ZEALAND

Gary

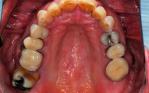
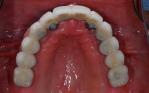
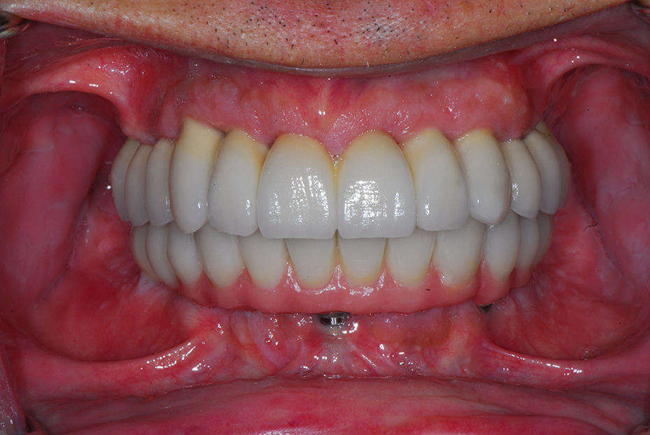
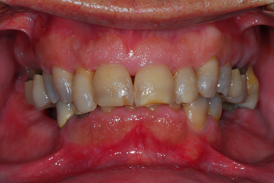
Replacement of all loose teeth with fixed ceramic bridgework on multiple implant fixtures in both jaws.

Use the slider bar above to switch between before and after images

Before

After