03 351 5013

455 Papanui Road
Christchurch 8053
NEW ZEALAND

Terry

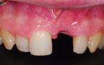
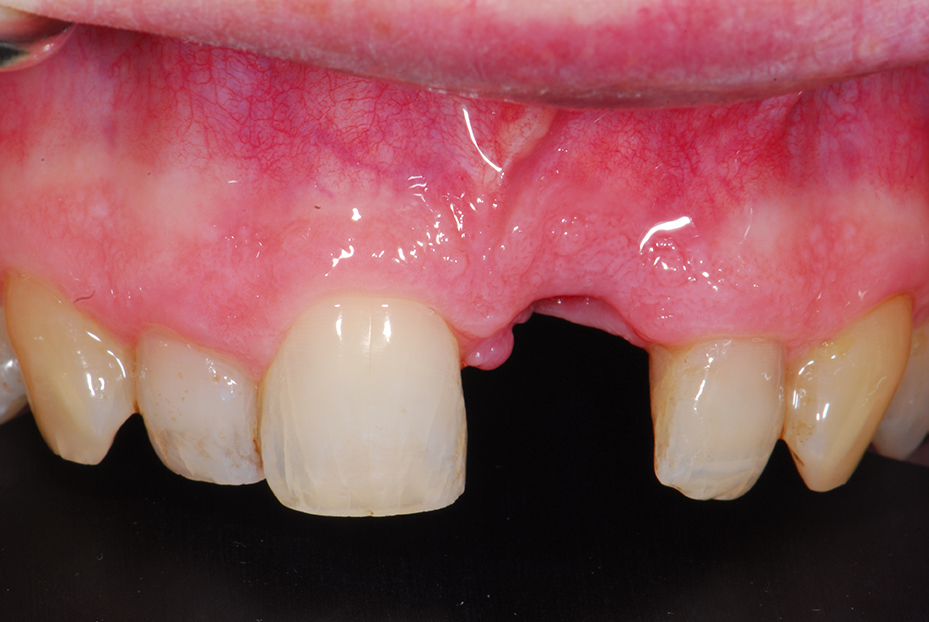
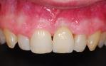
Replacement of a dissolving upper incisor following trauma with a single implant crown.

Use the slider bar above to switch between before and after images

Before

After