03 351 5013

455 Papanui Road
Christchurch 8053
NEW ZEALAND

Lisa

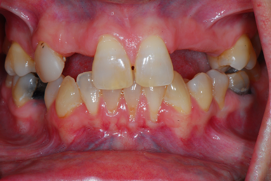
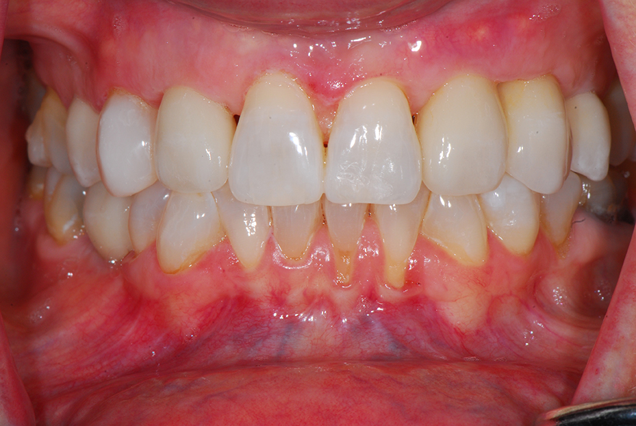
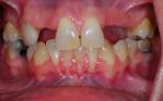
Orthodontic correction of the midline, some whitening, a composite bonded veneer and some implant crowns and bridgework to replace congenitally missing adult teeth.

Use the slider bar above to switch between before and after images

Before

After