03 351 5013

455 Papanui Road
Christchurch 8053
NEW ZEALAND

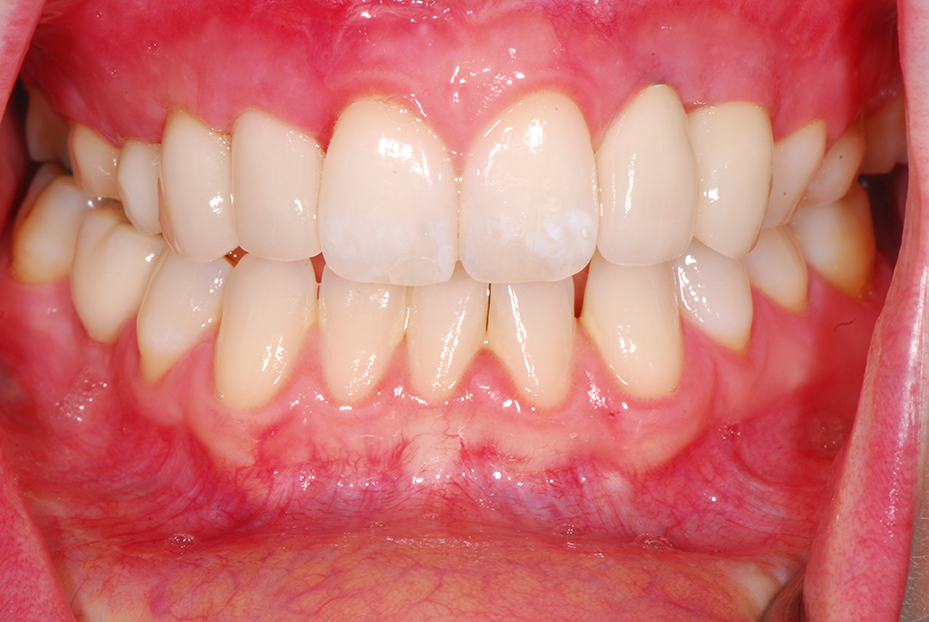
Harriet

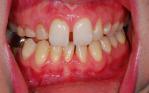
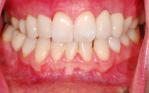
Orthodontic closure of the front gap and replacement of the loose baby teeth with some permanent implant crowns and bridgework.

Use the slider bar above to switch between before and after images

Before

After