
Implants vs Dentures
Dental implants function like natural teeth. With dentures, teeth can slip causing slurred speech and make chewing difficult. Dental implants eliminate those problems.
Dental implants are made to match your natural teeth. They’re a vastly superior alternative to dentures, which can slip causing you to slur your speech. Implants eliminate the discomfort and inconvenience of removable dentures.
Types of dental implants
Whether you need just one implant or a more substantial procedure, Smile:Design will help give your mouth a strong, permanent foundation.
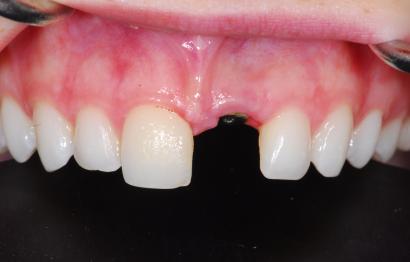
Single Tooth
Conventional method
A dental bridge anchors one or more false teeth on to the neighbouring teeth. This conventional technique involves grinding healthy teeth and adding crowns to support the bridge. They are cheaper than dental implants but last only 8-10 years.
Dental implant
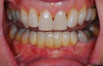
A dental implant and ceramic crown are used to fill the gap left by the missing tooth. Designed to look, feel and function like a natural tooth, this is a permanent solution that allows you to regain your quality of life and oral health. Your neighbouring teeth won’t be sacrificed with this method.


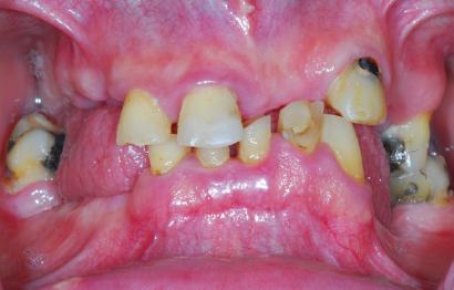
Multi Tooth
Conventional method
The traditional method of treating someone with several damaged or missing teeth is plastic dentures secured with clasps. It involves grinding down healthy teeth and adding crowns to support the bridge. Rarely does it produce an attractive result.
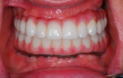
Dental implant
A fixed bridge attached to dental implants gives optimal stability, aesthetic appeal and good functionality. Dental implants are more secure and a longer-term solution than dentures.


Whole mouth
Conventional method
A complete set of false teeth held in by suction. This is the lowest cost option, and the acrylic plate can affect your sense of taste and ability to chew properly. They are often uncomfortable, difficult to eat with, and will cause your jawbone ridge to resorb.
Dental implant
Dental implants offer the necessary stability for anchoring a removable denture, so that the denture stays in place firmly and can be taken out of the mouth for cleaning. Even better, dental implants can be used to permanently secure a fixed bridge in place that makes your teeth feel normal again. Both these options allow you to regain the quality of life that you’re used to, and regain your enjoyment of tasting and chewing food.



How do I get dental implants?
See me! I can determine if dental implants are an option for you. From there it’s a four-step process.

Dental implants
Treat yourself to a beautiful smile.
At Smile:Design, we believe everyone can have a beautiful smile. If your teeth are damaged and it’s making you hide your smile, consider dental implants. We can bring back your smile and restore your confidence.

