Do you hide your smile because you have missing teeth, or want to keep your remaining teeth and support your bite? Do you wear a denture that is uncomfortable or slips when eating and talking, or that covers the roof of your mouth and takes away the pleasure of tasting your food?
When teeth are lost because of disease or an accident, dental implants may be an ideal option as they replace the root of one or more missing teeth. The stable connection to the jaw bone allows implants to function like healthy, natural teeth. Many people also choose implants to help secure their existing dentures and end the embarrassment of loose dentures, with the added advantage of helping to keep the jawbone from shrinking.
Made of high quality titanium that is well accepted by the body, dental implants are strong, lightweight and long-lasting. They are placed in the jaw and left for the bone to heal around them for a few months, which is called integration. The surrounding bone bonds with the surface of the implants, creating artificial roots. This acts as a base for single crowns, bridges or dentures which are secure and won’t slip in your mouth – an important benefit when eating and speaking.

Dental implant options include:
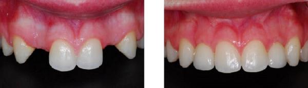
Single tooth implants are stand-alone units that do not involve treating adjacent healthy teeth.
Implant-supported bridges are used when several teeth are missing to replace the lost natural teeth and some of the tooth roots. Unlike traditional bridges, cutting into natural teeth either side is not required.
Implant supported dentures can be designed to be removeable for cleaning or permanently attached. These are options when a person has no teeth in the upper and/or lower jaw but enough bone to support implants. If you are wearing an existing lower denture this may be able to be modified and relined with a soft material so that it can be worn while the implants are integrating. Various treatment options are available if you are having a denture made for the first time.
Dental implants are designed to be an enduring solution for loss of teeth to help restore functionality, improve your smile and increase your overall confidence. View more real results at www.smiledesign.co.nz or give us a call on 351-5013 to see what I can do to help give your mouth a strong, long-lasting foundation and a beautiful smile!
Page Published by Dr Nathan Lewis on 18 Sep 2021 06:24 pm

